Har du brukket eller sprukket en tann, og du er usikker på om det bare er en bagatell, bør du oppsøke tannlege for å få nødvendig behandling.
Hvis du har vondt p.g.a. en brukket eller sprukket tann, kan du ta et smertestillende middel som selges på apoteket. Pass på den delen av tannen som er brukket av og ta den med til tannlegen..
Hvis en tann er slått helt ut av kjeven bør du legge den i melk eller under tungen. Den må ikke tørke ut. Oppsøk tannlege så fort som mulig. Tannen kan i mange tilfeller settes på plass igjen i kjeven. Melketenner settes aldri tilbake, i frykt for å skade de blivende tenner som ligger over melketennene i kjevebeinet.
Hvordan behandles dette?
En tann hvor et lite stykke er brukket av - Hvis du ikke har vondt og det manglende stykke er lite, haster det ikke med å oppsøke tannlege. I mange tilfeller kan den oppståtte ujevnheten fjernes med en lett avpussning. Er skaden litt større og kosmetisk uheldig kan den repareres med en plastfylling. La tannlegen vurdere optimal behandling. Hvis det manglende stykke stammer fra en fylling, vil ofte hele fyllingen legges om/revideres.
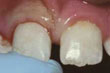
Sprukket eller brukket tann - Sprukkede eller brukkede tenner skal repareres så fort som mulig for å hindre ytterligere skade. Det kan være nødvendig med rotbehandling eller å trekke tannen, hvis skaden er omfattende. Å legge en krone kan ofte være den beste behandlingen. Sprekker er ikke alltid synlige - heller ikke på røntgenbildet. Men du kan merke de ved smerte når du tygger, og ising i tennene når du inntar kalde eller varme mat- og drikkevarer, eller eksponering for kald luft, er vanlig.
Tann som er slått ut av kjeven - I mange tilfeller kan tannen settes tilbake i kjeven. Et vellykket resultat avhenger av hvor fort man kan få tannen på plass igjen. Jo lengre tid det går etter at tannen ble slått ut, jo dårligere vil tilstanden til de levende cellene på rotoverflaten være. Legg tannen i melk eller legg den under tungen og oppsøk tannlegen så fort som mulig. Hvis tannen er ren (ikke falt ned på bakken e.l.), kan du selv prøve å sette tannen på plass med en gang. Hold i tannens krone og ikke rør roten. Størst sjanse for et vellykket resultat er hvis tannen settes på plass i løpet av de første 30 minutter etter at tannen er slått ut. Det kan bli nødvendig å rotbehandle tannen på et senere tidspunkt.
Permanente (blivende) tenner som mistes, enten ved at tannlegen har fjernet dem, eller de er tapt ved et uhell, bør i de fleste tilfeller erstattes med bro, protese eller implantat. Dette gjøres for å unngå problemer med tygging eller tale og for å hindre at de resterende tenner skifter stilling. Tilslutt kan dette føre til problemer med kjeveleddet.
Kjeven er brukket - Hvis du har mistanke om at kjeven er brukket, bør du forsøke å holde kjeven på plass ved å binde et lommetørkle, et slips eller et håndkle rundt om hodet. Kjeven kan brekke ved et fall hvor haken treffer bakken. Kald kompress (ispose) kan brukes for å minske en eventuell hevelse. Oppsøk straks legevakt.
Et stort stykke av en fortann er slått av
En blivende fortann er slått ut
Sett forsiktig tannen som er slått ut, tilbake på plass og oppsøk straks tannlege.
